ノーベル・クリニシャンによるノーベル・ガイドの症例
実際の症例1:右下に3本のインプラントを予定
①設計前のCT画像です。

②下顎の神経に当たらないように3本のインプラントの位置を確認します。

③患者さまの下顎模型のスキャンデータをCT画像と融合(SmartFusion)させることにより、正確なインプラントの位置を確認できます。

④歯列の上からも位置と平行性を確認します。

⑤別の角度からも詳細に確認します。



⑥完成したノーベル・ガイドです。

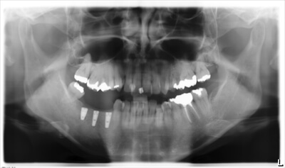
⑦インプラントの治療後のレントゲン写真です。
正確な位置に埋入されています。

実際の症例2:左下に1本のインプラントを予定。
①設計前のCT画像です。

②CT画像と下顎模型スキャンでインプラント位置を確認します。

③上からも見て位置を確認します。

④別の角度からも詳細に確認します。

⑤完成したノーベル・ガイドです。

⑥インプラント治療後のレントゲン写真です。
正確な位置に埋入されています。
